讯 2021年8月27日,华坪县人民医院举行介入导管室揭牌仪式,云南阜外心血管病医院、昆明医科大学第二附属医院、丽江市人民医院的六名心脑血管病专家亲临揭牌仪式,华坪县人民政府蔡芝云副县长、华坪县卫健局罗平波局长及医院党政领导班子干部职工100余人参加了揭牌启动仪式,共同见证了医疗技术发展中具有里程碑意义的重要时刻。

介入导管室揭牌启动会

标准化的血管介入导管室

省、市心脑血管专家

蔡副县长讲话
揭牌启动会由罗平波局长主持,蔡副县长对省市专家表示诚挚的欢迎和感谢!蔡副县长讲到:“介入导管室建成将会使县人民医院医疗技术发展进入一个新的时期,将造福全县广大人民群众,惠泽心脑血管患者,提高华坪县心脑血管疾病救治能力,推动医疗卫生事业发展,希望县人民医院抓住机遇,加强心脑血管介入学科建设,为健康华坪做出积极贡献。”

专家代表致辞
专家代表齐峰主任致辞:“华坪县人民医院导管室经过前期准备,今天揭牌了,导管室的投入使用一定会使当地的群众受益,尤其能给急性冠脉综合症患者带来准确方便的诊疗实惠,相信华坪县医院的发展会越来越好,越来越强。”
廖德伟院长代表医院作了表态发言,对专家和领导的关心支持表示衷心的感谢,就医院导管室今后的发展思路作了阐述,医院有决心有信心开展好心脑血管介入导管室的各项工作,发挥好导管室的作用,为广大患者提供优质的医疗服务。

领导为介入导管室揭牌

与专家合影

见证介入导管室开机

专家义诊
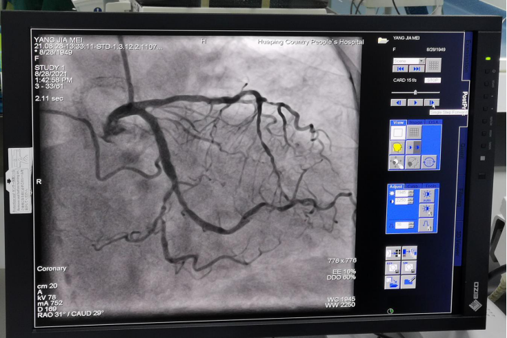
在专家指导下,从8月27日到29日成功完成了20例心脏冠状动脉造影检查、5例心脏冠脉支架植入、3例颅脑动脉造影检查、2例心脏冠状动脉药物球囊植入、1例永久性心脏电生理起搏器植入,其中做了1例急诊冠状动脉造影+支架植入。所有患者在术中术后安全、平稳、顺利,痛苦较小,术后各种不适症状明显减轻。此次介入检查治疗的各项工作受到患者及家属的良好评价。

手术准备中

术中默契配合

心脏起搏器植入术中

全神贯注地手术


支架植入前后对比


冠脉造影像一幅漂亮的“画”
在华坪县委县政府的高度重视、华坪县卫健局的关心支持、医院领导务实作为、相关科室齐心协力、导管室团队努力拼搏下,医院介入导管室实现了良好的开局,今后医院将一如既往地为广大患者提供优质的诊疗服务。